WISDOM TOOTH EXTRACTION – DISIMPACTION
Wisdom teeth, also known as third molars, are the last set of teeth to emerge in the mouth, usually appearing between the ages of 17 and 25. While some people experience no issues when their wisdom teeth erupt, many patients develop pain, swelling, infection, or crowding because there is often not enough space in the jaw for these teeth to grow properly. If you are searching for a dentist near me or a reliable dental clinic near me for relief from wisdom tooth pain, Dental Lifecare in Sector 71, Noida provides advanced and safe treatment options for patients suffering from wisdom tooth problems.
At Dental Lifecare in Sector 71, Noida, experienced dental professionals diagnose and treat wisdom tooth complications with modern technology and patient-friendly techniques. Dr. Vijay Prakash Gupta, a highly experienced dental specialist with 22 yearsβ experience, provides expert care for patients needing wisdom tooth removal Noida and other oral surgical procedures. His expertise ensures safe and comfortable procedures for both simple and complex cases of wisdom teeth.
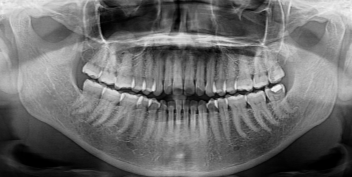
Many patients experience severe discomfort when their wisdom teeth become impacted. An impacted tooth occurs when the tooth does not have enough space to erupt fully and becomes trapped under the gum or bone. This condition may cause swelling, jaw stiffness, infection, bad breath, and persistent pain. In such cases, impacted wisdom tooth removal becomes necessary to prevent further complications and protect surrounding teeth. At Dental Lifecare in Sector 71, Noida, patients receive precise diagnosis using modern digital imaging before proceeding with wisdom tooth surgery
One of the most common reasons patients visit a dental clinic near me is severe toothache caused by wisdom teeth. Patients suffering from swelling, difficulty in opening their mouth, or pain while chewing often require immediate tooth pain treatment Noida. The team at Dental Lifecare in Sector 71, Noida offers effective wisdom tooth pain treatment Noida that focuses on relieving discomfort while addressing the root cause of the problem.
When a wisdom tooth cannot erupt properly or is causing damage to nearby teeth, dentists recommend wisdom tooth extraction Noida or third molar extraction Noida. The procedure may involve either a simple extraction or a minor surgical procedure depending on the position of the tooth. At Dental Lifecare in Sector 71, Noida, the focus is on providing painless removal of third molar Noida using advanced anesthesia techniques and minimally invasive surgical methods. This approach ensures patient comfort, faster healing, and minimal swelling after the procedure.
Patients often worry about the complexity of wisdom tooth surgery Noida, but with an experienced dentist the procedure becomes safe and predictable. Dr. Vijay Prakash Gupta, with 22 years experience, carefully evaluates the tooth position, nerve proximity, and jaw structure before performing third molar extraction Noida. His expertise ensures that patients receive safe treatment with minimal discomfort.
Another common concern for patients is the wisdom tooth extraction cost Noida. The cost may vary depending on factors such as the position of the tooth, whether it is impacted, and the complexity of the procedure. At Dental Lifecare in Sector 71, Noida, patients receive transparent guidance regarding the wisdom tooth extraction cost Noida, ensuring affordable and quality dental care.
Choosing the right dentist near me is important when dealing with wisdom tooth issues. Early diagnosis and timely wisdom tooth removal Noida can prevent infections, gum damage, and crowding of nearby teeth. By visiting a trusted dental clinic near me, patients can receive professional evaluation and personalized treatment plans for long-term oral health.
If you are experiencing swelling, jaw pain, or difficulty chewing, it may be time to seek professional tooth pain treatment Noida. At Dental Lifecare in Sector 71, Noida, patients receive comprehensive care for wisdom tooth pain treatment Noida, impacted wisdom tooth removal Noida, and advanced wisdom tooth extraction Noida procedures. With expert care from Dr. Vijay Prakash Gupta and 22 years experience, patients can expect safe, comfortable, and effective solutions for all wisdom tooth problems.
Remove Wisdom Teeth Comfortably and Safely
Get expert, painless extraction with advanced techniques and quick recovery.
Book Appointment today at Dental Lifecare or write to us at dentallifecare2006@gmail.com
Call Now for appointment at +91-9899932210, +91-9810167164; or connect through Whatsapp at +91-9899932210



