Full Mouth Rehabilitation in Noida at Dental Lifecare – Restore Your Smile and Confidence
If you are searching online for a “dentist near me” because of multiple dental problems such as worn-out teeth, missing teeth, jaw pain, or difficulty chewing, Dental Lifecare offers advanced and reliable solutions. Known as a best dental clinic in the area, the clinic provides comprehensive Full Mouth Rehabilitation in Noida (FMR Noida) using modern dental technology and personalized treatment planning.
Full Mouth Rehabilitation is a complete dental treatment approach that restores the health, function, and appearance of all the teeth in the mouth. It is recommended for patients who have severely damaged, worn, missing, or misaligned teeth. At Dental Lifecare in sector 71, Noida, experienced dental professionals combine restorative and cosmetic dentistry techniques to rebuild your smile and improve overall oral health.
What is Full Mouth Rehabilitation?
Full mouth rehabilitation in Noida involves restoring or replacing all teeth in the upper and lower jaws. The procedure is designed for people who have:
- Multiple missing teeth
- Severely worn or broken teeth
- Long-standing tooth decay
- Bite problems or jaw discomfort
- Failed dental work such as old crowns or bridges
Patients often search for the best dentist in Noida when they need such complex treatments. At Dental Lifecare, every FMR case is carefully planned to restore proper bite alignment, chewing efficiency, and a natural-looking smile.
Advanced Technology for Precise Results
At Dental Lifecare in sector 71, Noida, full mouth rehabilitation procedures are carried out using the latest dental technologies to ensure accuracy and patient comfort. Advanced tools such as digital smile designing, intraoral scans, and computer-guided treatment planning help visualize the final outcome even before treatment begins.
Digital Smile Designing allows the dentist to plan your new smile digitally, taking into account facial structure, lip line, and tooth proportions. This ensures that the final result looks natural and aesthetically pleasing.
Using intraoral scans, the dentist captures highly accurate digital impressions of your teeth without the discomfort of traditional impression materials. This technology improves precision while making the entire process faster and more comfortable.
Types of Restorations Used in Full Mouth Rehabilitation
Depending on the patient’s dental condition, several types of restorations may be used during FMR Noida treatment.
Full Mouth Zirconia Teeth
One of the most popular options today is full mouth zirconia teeth, known for their exceptional strength, durability, and natural appearance. Zirconia restorations are highly resistant to wear and fractures, making them ideal for full mouth reconstruction.
Full Mouth All Ceramic Crowns
For patients who want superior aesthetics, full mouth all ceramic crowns are an excellent choice. These crowns closely mimic the translucency and color of natural teeth, providing a beautiful and lifelike smile.
IPS Emax Crowns
IPS Emax crowns are made from advanced lithium disilicate ceramic. They offer excellent aesthetics and are commonly used for front teeth restorations where appearance matters the most.
3M LAVA Zirconia Crowns
High-strength 3M LAVA Zirconia crowns are another premium option used for long-lasting dental restorations. These crowns are extremely durable and provide excellent functionality for full mouth restorations.
Temporary Provisional Restorations
Before placing the final crowns or bridges, patients may receive provisional restorations. These temporary restorations allow patients to test their new bite, speech, and smile before the final restorations are placed. This step ensures maximum comfort and satisfaction with the final results.
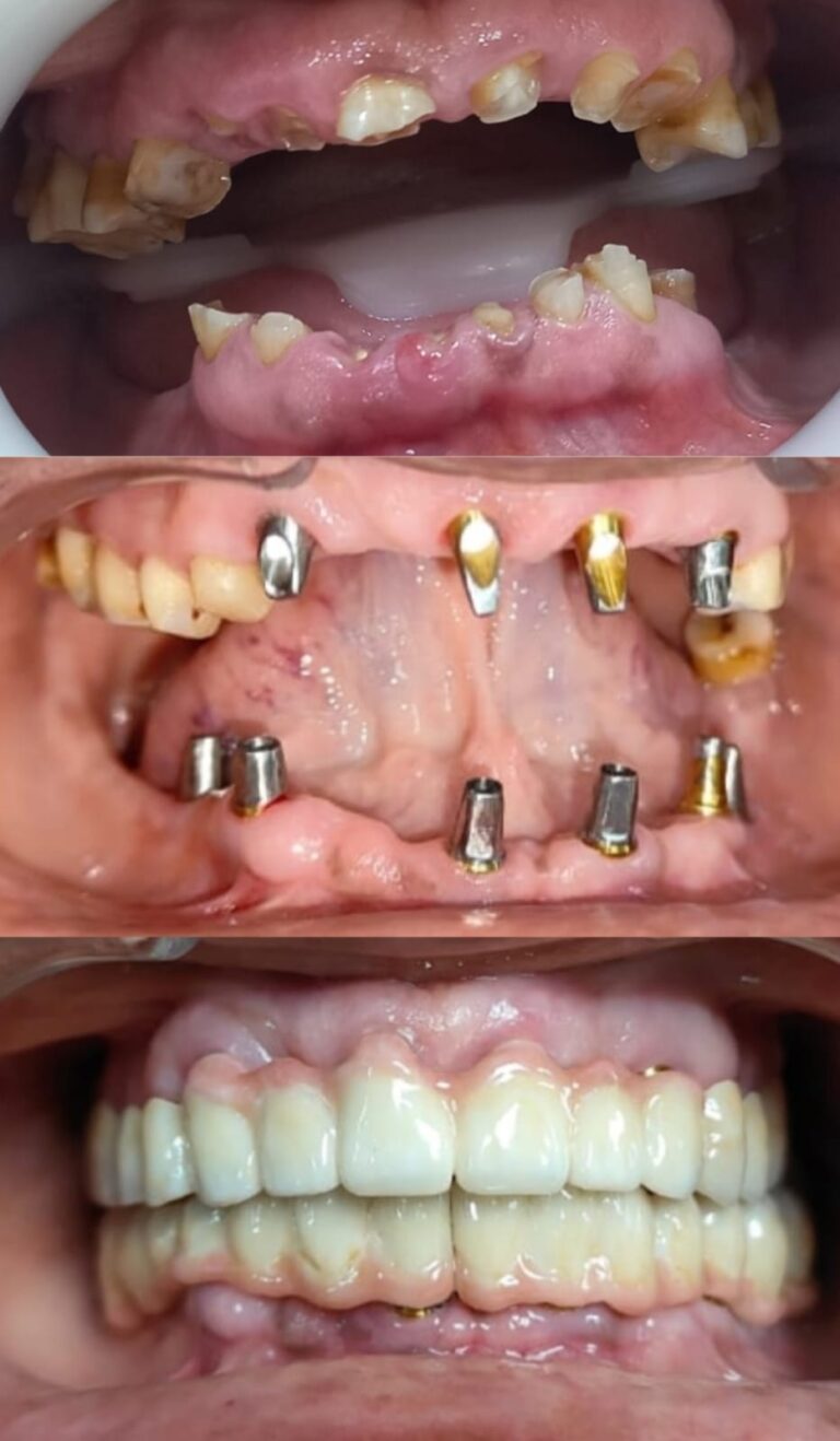
Full Mouth Implants for Missing Teeth
For patients who have lost most or all of their teeth, full mouth implants provide a permanent and stable solution. Dental implants replace missing tooth roots and support fixed prosthetic teeth.
Some advanced implant options include:
All-on-4 Implants
With all on 4 implants, a complete arch of teeth can be supported using just four strategically placed implants. This method is ideal for patients with significant tooth loss and offers faster recovery.
All-on-Six Implants
Another reliable option is all on six implants, where six implants are used to support a full arch of teeth. This technique provides additional strength and stability for long-term function.
Smile Makeover with Full Mouth Rehabilitation
Apart from restoring function, smile makeover Noida treatments are often combined with full mouth rehabilitation to enhance facial aesthetics. The goal is not just to repair damaged teeth but to create a harmonious and attractive smile that boosts confidence.
Patients undergoing smile makeover Noida treatments benefit from improved tooth alignment, enhanced tooth color, and a more youthful appearance.
Comfortable and Painless Dental Treatment
Many people delay dental care due to fear or anxiety. At Dental Lifecare in sector 71, Noida, every effort is made to provide painless treatment using modern techniques, advanced anesthesia methods, and gentle dental care.
Patients looking for a dental clinic near me often choose Dental Lifecare because of its patient-friendly environment, advanced equipment, and personalized attention.
Why Choose Dental Lifecare for Full Mouth Rehabilitation?
Patients searching for the best dentist in Noida trust Dental Lifecare for several reasons:
- Advanced diagnostic and digital technology
- Expertise in FMR Noida and complex restorative dentistry
- Use of premium materials such as IPS Emax crowns and 3M LAVA Zirconia crowns
- Options for full mouth implants, all on 4 implants, and all on six implants
- Customized treatment planning using digital smile designing
- Comfortable and painless treatment experience
Restore Your Smile with Expert Care
If you are struggling with multiple dental problems and searching for a reliable dentist near me, Dental Lifecare in sector 71, Noida offers comprehensive Full Mouth Rehabilitation in Noida using world-class materials and modern technology.
With personalized care, advanced procedures, and a focus on long-term results, the clinic helps patients regain healthy teeth, proper chewing ability, and a confident smile.
Whether you need full mouth zirconia teeth, full mouth all ceramic crowns, or full mouth implants, the team at Dental Lifecare is dedicated to providing high-quality dental care and life-changing smile transformations.




