ย
Porcelain Laminate Veneers for a Beautiful Smile at Dental Lifecare in Sector 71, Noida
A confident smile can transform your personality and leave a lasting impression. However, many people feel self-conscious due to chipped, stained, uneven, or slightly misaligned teeth. Fortunately, modern cosmetic dentistry offers effective solutions such as dental veneers Noida, which can dramatically enhance your smile. At Dental Lifecare in Sector 71, Noida, patients receive advanced and personalized cosmetic treatments designed to restore both aesthetics and function.
If you often search for a dentist near me or a dental clinic near me, Dental Lifecare stands out as a trusted choice and is widely regarded as a best dental clinic Noida for advanced cosmetic dentistry procedures. The clinic combines modern technology with the expertise of experienced specialists to deliver natural-looking results.
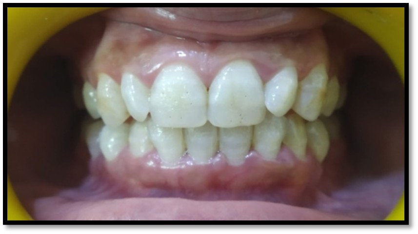
One of the most popular cosmetic treatments offered here is porcelain laminate veneers Noida. Veneers are ultra-thin shells made from high-quality ceramic that are bonded to the front surface of the teeth. These veneers can instantly improve the appearance of teeth that are discolored, chipped, worn down, uneven, or have gaps between them. Patients looking for veneers for chipped teeth or stained teeth often choose this treatment for its natural appearance and durability.
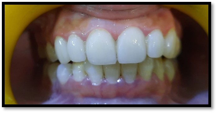
The clinic offers premium all ceramic veneers Noida that closely mimic the natural translucency of tooth enamel. These veneers are highly resistant to stains and provide a long-lasting solution for those seeking a brighter and more symmetrical smile. In addition to traditional veneers, the clinic also provides lumineers, which are ultra-thin veneers that require minimal or sometimes no tooth preparation.
The treatment is performed by experienced Prosthodontist, Dr. Vijay Prakash Gupta, who brings 22 years experience in advanced dental and cosmetic procedures. His expertise in smile aesthetics ensures that each patient receives a customized treatment plan based on facial structure, tooth alignment, and smile design goals. Patients seeking a smile makeover Noida benefit from his precise approach and attention to detail.
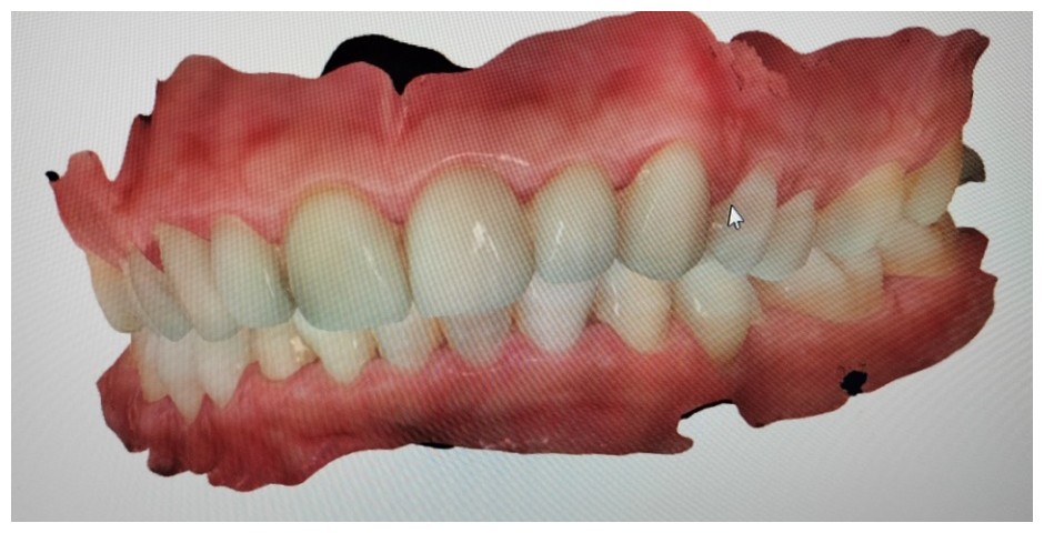
At Dental Lifecare in Sector 71, Noida, modern digital technology enhances the entire treatment process. The clinic uses digital intraoral scanning Noida to create highly accurate 3D impressions of the teeth, eliminating the discomfort of traditional dental impressions. This advanced technology allows patients to preview their expected results and ensures that the final veneers fit perfectly.
The process of getting ceramic laminate veneers Noida usually involves a few simple steps. First, the dentist evaluates the patientโs dental health and discusses the desired smile transformation. After minimal preparation of the tooth surface, digital scans are taken and sent to a specialized dental laboratory. Custom veneers are then fabricated and bonded to the teeth using advanced adhesive techniques.
These cosmetic dental veneers Noida can correct multiple aesthetic concerns at once, including discoloration, minor gaps, worn edges, and uneven tooth shapes. With proper care and regular dental check-ups, veneers can last for many years while maintaining their natural appearance.
For individuals searching online for a reliable dentist near me or dental clinic near me, Dental Lifecare in Sector 71, Noida offers world-class cosmetic dentistry with a patient-friendly approach. With the expertise of Prosthodontist Dr. Vijay Prakash Gupta and advanced technologies like digital intraoral scanning Noida, patients can achieve a confident, radiant smile through high-quality porcelain laminate veneers Noida and other cosmetic dental solutions.
Transform Your Smile with Laminate Veneers
Achieve a flawless, natural-looking smile with custom-designed veneers tailored just for you.
Book Appointment at Dental Lifecare or write to us dentallifecare2006@gmail.comย
Call Now for appointment +91-9899932210,+91-9810167164; or connect on whatsapp +91-9899932210




