All-on-Four Implants: A Modern Solution for Full-Arch Tooth Replacement
Missing multiple teeth or wearing uncomfortable dentures can significantly affect a personโs confidence, oral health, and quality of life. Fortunately, modern dentistry offers an advanced and highly effective solution known as All-on-Four dental implants. This innovative treatment allows patients with multiple missing teeth to restore a full set of teeth using only four strategically placed implants.
What Are All-on-Four Implants?
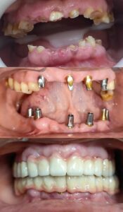
All-on-Four implants is a revolutionary dental implant technique designed to replace an entire arch of missing teeth (either upper or lower) using just four dental implants. These implants act as strong anchors that support a fixed prosthetic bridge, providing a stable and permanent set of teeth.
Unlike traditional implants, where each missing tooth may require an individual implant, the All-on-Four technique uses four implants positioned in specific angles to maximize bone support. This method often eliminates the need for bone grafting, making the procedure faster and more convenient for many patients.
The concept was developed to provide patients with a long-lasting, natural-looking, and functional alternative to removable dentures.
How the All-on-Four Procedure Works
The All-on-Four treatment follows a carefully planned process to ensure the best results for patients.
- Initial Consultation and Assessment
The dentist first performs a comprehensive examination, including digital X-rays, CBCT scans, and oral evaluation. This helps determine bone density, jaw structure, and suitability for the All-on-Four procedure.
- Treatment Planning
Based on the diagnostic results, a customized treatment plan is prepared. The dentist determines the optimal position and angle for placing the four implants.
- Implant Placement
During the procedure, four titanium dental implants are surgically placed into the jawbone. Two implants are placed vertically at the front of the jaw, while the other two are angled toward the back to provide maximum stability.
- Temporary Teeth Placement
In many cases, a temporary set of fixed teeth can be attached on the same day, allowing patients to leave the clinic with a functional smile.
- Final Prosthesis
After a healing period of a few months, during which the implants fuse with the bone (a process called osseointegration), the final custom-made prosthetic teeth are attached.
Benefits of All-on-Four Implants
All-on-Four implants offer several advantages compared to traditional dentures and conventional implant methods.
- Immediate Smile Restoration
Patients can often receive temporary teeth on the same day as implant placement, restoring both function and appearance quickly.
- Fewer Implants Required
Only four implants are needed to support a full arch of teeth, reducing the complexity and cost of treatment.
- No Need for Bone Grafting in Many Cases
Because the implants are strategically angled, they can utilize available bone more efficiently, often eliminating the need for bone grafting.
- Improved Stability and Comfort
Unlike removable dentures, All-on-Four implants are fixed in place. They do not slip or move while eating or speaking.
- Natural Appearance
The prosthetic teeth are custom-designed to match the patientโs facial structure, giving a natural and attractive smile.
- Long-Term Durability
With proper care and oral hygiene, All-on-Four implants can last many years and provide a permanent solution for missing teeth.
Who Is a Suitable Candidate?
All-on-Four implants are ideal for individuals who:
- Have lost most or all of their teeth in one or both jaws
- Are tired of wearing removable dentures
- Have sufficient jawbone density to support implants
- Want a fixed, long-term solution for tooth replacement
- Desire improved chewing ability and aesthetics
Even patients who have experienced some bone loss may still be eligible for the All-on-Four technique because of the angled implant placement.
However, a detailed dental evaluation is necessary to determine whether this treatment is suitable for each individual.
Recovery and Healing
Recovery after All-on-Four implant surgery is generally faster compared to traditional implant procedures. Patients may experience mild swelling, discomfort, or bruising for a few days following the procedure. These symptoms typically subside with prescribed medications and proper care.
Dentists usually recommend a soft diet for the first few weeks to allow the implants to heal properly. Maintaining good oral hygiene and attending follow-up visits are essential for long-term success.
Caring for All-on-Four Implants
Proper care ensures the longevity and success of All-on-Four implants. Patients should follow these oral hygiene practices:
- Brush teeth twice daily with a soft toothbrush
- Use interdental brushes or water flossers to clean around implants
- Visit the dentist regularly for professional cleaning and check-ups
- Avoid smoking, as it may affect healing and implant success
- Maintain a balanced diet and good overall health
With proper care, All-on-Four implants can provide many years of comfortable and reliable function.
Cost of All-on-Four Implants
The cost of All-on-Four implants varies depending on several factors, including the materials used, diagnostic procedures, and the complexity of the case. While the initial investment may seem higher than traditional dentures, the long-term benefits, durability, and improved quality of life make it a worthwhile solution for many patients.
Patients should consult their dentist to understand the complete treatment plan and cost details.
Conclusion
All-on-Four implants represent one of the most significant advancements in modern dentistry for patients with multiple missing teeth. This innovative technique provides a stable, natural-looking, and long-lasting alternative to removable dentures, allowing individuals to regain confidence in their smile.
With fewer implants, quicker recovery, and excellent functional results, All-on-Four implants have become a preferred solution for full-arch tooth replacement. If you are struggling with missing teeth or uncomfortable dentures, consulting a qualified dentist about All-on-Four implants could be the first step toward restoring your smile and improving your overall quality of life.
Restore Your Smile with Confidence
Book your consultation today and discover how All-on-Four dental implants can transform your smile.
https://wa.me/919899932210
+91-9899932210,+91-9810167164
Learn and discver more on Dental Implants




