GUM TREATMENT
Healthy gums are the foundation of a beautiful smile and strong teeth. At Dental Lifecare in Sector 71, Noida, we provide advanced and effective gum treatment to help patients maintain excellent oral health. If you often search for a dentist near me or a dental clinic near me for problems like bleeding gums, bad breath, or red swollen gums, our clinic offers comprehensive solutions for all types of gum diseases.
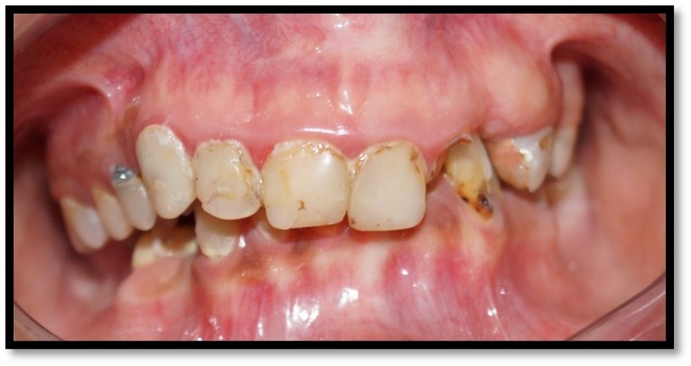
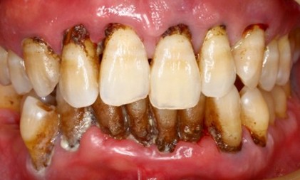
Many people suffer from gum problems due to the buildup of plaque and calculus around the teeth. Over time, this buildup hardens into tartar, which irritates the gums and leads to red gums, swelling, and bleeding while brushing. If ignored, this condition can progress to adult periodontitis or chronic periodontitis, where the gums start pulling away from the teeth, leading to gums recession, loose teeth, and even tooth loss.
At Dental Lifecare in Sector 71, Noida, our expert dentists diagnose gum disease early and provide professional treatments such as scaling and polishing. This deep cleaning procedure removes tartar, tobacco stains, and harmful bacteria from the teeth and gum line, helping to reduce inflammation and eliminate bad breath. Regular scaling also prevents the progression of chronic periodontitis and keeps your gums healthy and pink.
For patients concerned about gum appearance, we also offer cosmetic procedures like gingival recontouring to reshape uneven gums and gum depigmentation to remove dark patches from the gums. These treatments improve both oral health and smile aesthetics.
Maintaining good oral hygiene and visiting a trusted dentist near me regularly can prevent serious gum problems. If you notice red swollen gums, bleeding gums, or persistent bad breath, it is important to seek professional care early.
At Dental Lifecare in Sector 71, Noida, we are committed to providing gentle, effective, and advanced gum care. Recognized as the best dental clinic Noida, we ensure personalized treatment, modern technology, and a comfortable experience for every patient looking for a reliable dental clinic near me.
Restore Healthy Gums with Expert Care
Book your consultation today and get advanced treatment for bleeding, swollen, or infected gums.
Book Appointment at Dental Lifecare today or write to us at dentallifecare2006@gmail.com
Call Now for appointment at+91-9899932210, +91-9810167164; or Whatsapp at +91-9899932210



