Cosmetic Dentistry
Dental Lifecare in Sector 71, Noida – Advanced and Reliable Dental Care
If you are searching for a dental clinic near me or a trusted dentist near me, Dental Lifecare in Sector 71, Noida is a well-known destination for high-quality and modern dental care. Recognized as the Best dental clinic in Noida, the clinic offers a wide range of preventive, restorative, and cosmetic dental treatment Noida services designed to help patients achieve healthy and beautiful smiles.
At Dental Lifecare, patient comfort and safety are always the top priorities. The clinic is equipped with advanced dental technology and follows strict sterilization protocols to ensure every treatment is safe, hygienic, and effective. The experienced dental team focuses on personalized care, carefully examining each patient’s dental condition before recommending the most suitable treatment plan.
One of the most popular preventive treatments offered at Dental Lifecare in Sector 71, Noida is pit and fissure sealants. These are thin protective coatings applied on the chewing surfaces of the back teeth. Molars and premolars often have deep grooves where food particles and bacteria easily accumulate, increasing the risk of cavities. Pit and fissure sealants help seal these grooves and prevent tooth decay, especially in children and teenagers. This simple and painless procedure can significantly reduce the chances of developing cavities in vulnerable teeth.
For patients who already have cavities or minor tooth damage, the clinic provides advanced white tooth colored fillings in Noida. Unlike traditional silver amalgam fillings, tooth-colored fillings are designed to match the natural color of your teeth, making them almost invisible. These cosmetic fillings in Noida not only restore the function of the tooth but also maintain the natural appearance of your smile. The materials used are durable, safe, and designed to bond strongly with the natural tooth structure.
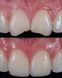
Patients looking for smile enhancement can also benefit from various cosmetic dental treatment Noida options available at the clinic. Under the guidance of the best cosmetic dentist in Noida, Dental Lifecare offers treatments that improve the shape, color, and alignment of teeth. Whether it is repairing chipped teeth, closing small gaps, or restoring damaged teeth with natural-looking fillings, the clinic focuses on achieving aesthetically pleasing and long-lasting results.
What makes Dental Lifecare in Sector 71, Noida stand out as the Best dental clinic in Noida is its commitment to modern dentistry combined with compassionate patient care. The clinic emphasizes early diagnosis and preventive treatments to help patients avoid complex dental procedures in the future. Regular dental checkups, professional cleaning, and timely treatments ensure that patients maintain optimal oral health.
Another key advantage is the clinic’s patient-friendly environment. Many people delay dental visits due to anxiety or fear, but the skilled team at Dental Lifecare ensures that every procedure is explained clearly and performed with utmost care. This approach helps patients feel relaxed and confident throughout their treatment.
So if you are looking online for a dentist near me or a reliable dental clinic near me, Dental Lifecare in Sector 71, Noida offers comprehensive dental solutions under one roof. From preventive care like pit and fissure sealants to restorative treatments such as white tooth colored fillings in Noida and advanced cosmetic dental treatment Noida, the clinic provides high-quality dental care tailored to every patient’s needs.
With experienced dentists, advanced technology, and a strong focus on patient satisfaction, Dental Lifecare continues to help individuals and families maintain healthy, confident smiles.
Enhance Your Smile with Expert Cosmetic Dentistry
Achieve a brighter, more confident smile with personalized aesthetic treatments.
Book Appointment at Dental Lifecare today or write to us at dentallifecare2006@gmail.com
Call Now to book appointment at +91-9899932210, +91-9810167164 or Connect with Whatsapp at +91-9899932210




