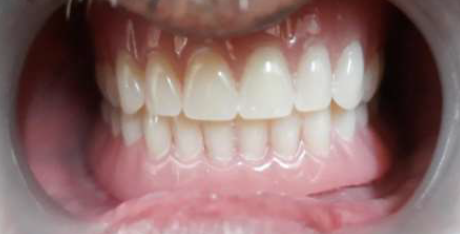
DENTURES – REMOVABLE FLEXIBLE DENTURES, COMPLETE DENTURES, IMMEDIATE DENTURES
If you are searching for a “Dentist near me” or the “Best dental clinic near me” for high-quality denture treatment, Dental Lifecare in Sector 71, Noida offers advanced and personalized dental care. Known as a trusted dentist in Noida, the clinic provides a wide range of denture solutions designed to restore your smile, chewing ability, and confidence.
At Dental Lifecare in Sector 71, Noida, treatment is led by Dr. Vijay Prakash Gupta, an experienced Prosthodontist with 22 years experience in restorative and cosmetic dentistry. His expertise in replacing missing teeth ensures that every patient receives dentures that are comfortable, natural-looking, and long-lasting.
The clinic provides different types of removable dentures depending on the patient’s dental condition and comfort needs. These include complete dentures for patients who have lost all their teeth and cast partial dentures for those who still have some healthy natural teeth remaining. Each denture is carefully designed using best quality denture teeth to ensure proper bite, durability, and a natural appearance.
For patients looking for more flexible and comfortable options, the clinic also offers flexible dentures, which are lightweight and adapt well to the gums. Another advanced option available is BPS Dentures, which are known for their excellent fit, superior aesthetics, and enhanced stability compared to conventional dentures.
In cases where teeth need to be removed, patients can benefit from immediate dentures after tooth extraction. These dentures are placed immediately after the removal of teeth, allowing patients to maintain their appearance and avoid the inconvenience of being without teeth.
With modern technology, strict sterilization protocols, and patient-focused care, Dental Lifecare in Sector 71, Noida has become a preferred destination for anyone looking for a reliable dentist in Noida for high-quality denture treatment. Whether you need complete dentures, cast partial dentures, flexible dentures, or BPS Dentures, the clinic ensures comfortable treatment and long-lasting results.
DENTURES – REMOVABLE FLEXIBLE DENTURES, COMPLETE DENTURES, IMMEDIATE DENTURES
If you are searching for a “Dentist near me” or the “Best dental clinic near me” for high-quality denture treatment, Dental Lifecare in Sector 71, Noida offers advanced and personalized dental care. Known as a trusted dentist in Noida, the clinic provides a wide range of denture solutions designed to restore your smile, chewing ability, and confidence.
At Dental Lifecare in Sector 71, Noida, treatment is led by Dr. Vijay Prakash Gupta, an experienced Prosthodontist with 22 years experience in restorative and cosmetic dentistry. His expertise in replacing missing teeth ensures that every patient receives dentures that are comfortable, natural-looking, and long-lasting.
The clinic provides different types of removable dentures depending on the patient’s dental condition and comfort needs. These include complete dentures for patients who have lost all their teeth and cast partial dentures for those who still have some healthy natural teeth remaining. Each denture is carefully designed using best quality denture teeth to ensure proper bite, durability, and a natural appearance.
For patients looking for more flexible and comfortable options, the clinic also offers flexible dentures, which are lightweight and adapt well to the gums. Another advanced option available is BPS Dentures, which are known for their excellent fit, superior aesthetics, and enhanced stability compared to conventional dentures.
In cases where teeth need to be removed, patients can benefit from immediate dentures after tooth extraction. These dentures are placed immediately after the removal of teeth, allowing patients to maintain their appearance and avoid the inconvenience of being without teeth.
With modern technology, strict sterilization protocols, and patient-focused care, Dental Lifecare in Sector 71, Noida has become a preferred destination for anyone looking for a reliable dentist in Noida for high-quality denture treatment. Whether you need complete dentures, cast partial dentures, flexible dentures, or BPS Dentures, the clinic ensures comfortable treatment and long-lasting results.



