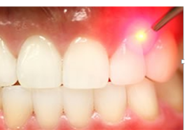
Laser Technology
Laser dentistry can be a precise and effective way to perform many dental procedures. The potential for laser dentistry to improve dental procedures rests in the dentist’s ability to control power output and the duration of exposure on the tissue (whether gum or tooth structure), allowing for treatment of a highly specific area of focus without damaging surrounding tissues.
It is estimated that 6 percent of general dentists own a laser for soft-tissue applications, with that number expected to increase over time. Laser dentistry is a new technique that can improve the precision of your treatment while minimizing pain and recovery time.
Benefits of Laser Dentistry?
Here are some of the major benefits associated with laser dentistry:
- Procedures performed using soft tissue dental lasers may not require sutures (stitches).
- Certain laser dentistry procedures do not require anesthesia.
- Laser dentistry minimizes bleeding because the high-energy light beam aids in the clotting (coagulation) of exposed blood vessels, thus inhibiting blood loss.
- Bacterial infections are minimized because the high-energy beam sterilizes the area being worked on.
- Damage to surrounding tissue is minimized.
- Wounds heal faster and tissues can be regenerated. Location: G-163, Sector 41Laser Dentistry
Laser Dentistry: The Future of Painless Dental Care
In recent years, laser dentistry has revolutionized the way dental procedures are performed. By offering a less invasive, more precise, and often pain-free alternative to traditional methods, laser technology has rapidly gained popularity among both dentists and patients. From treating gum disease to performing complex surgeries, lasers are changing the face of modern dentistry.
What Is Laser Dentistry?
Laser dentistry involves the use of focused light beams (lasers) to treat a variety of dental conditions. The term LASER stands for Light Amplification by Stimulated Emission of Radiation. These lasers produce narrow, intense beams of light energy that can remove or reshape tissue, kill bacteria, or even whiten teeth.
There are two main types of lasers used in dentistry:
- Hard tissue lasers, which are used on teeth
- Soft tissue lasers, which are used on gums and other soft tissues
Each type of laser is designed to target specific tissues without affecting surrounding areas, making treatments more efficient and comfortable.
Common Laser Dentistry Procedures
Laser technology is versatile and can be used for many dental treatments, including:
- Cavity Detection and Tooth Preparation
Lasers can detect early signs of tooth decay, often before they are visible on X-rays. They are also used to remove decayed parts of the tooth and prepare it for a filling—without the need for a traditional drill.
- Gum Disease Treatment
Lasers are highly effective in treating periodontal (gum) disease by removing inflamed tissue and killing bacteria in the gum pockets. This promotes healing and reduces the chance of infection.
- Teeth Whitening
Laser-assisted teeth whitening accelerates the bleaching process by activating whitening agents with laser energy, leading to faster and more noticeable results.
- Gum Reshaping
If you have a “gummy” smile or uneven gum lines, soft tissue lasers can reshape your gums with high precision and minimal discomfort.
- Biopsies and Lesion Removal
Dentists use lasers to painlessly remove tissue for biopsies or eliminate painful mouth sores and lesions.
- Root Canal Therapy
Certain lasers can clean and shape root canals more efficiently by disinfecting and removing bacteria deep within the canal.
Benefits of Laser Dentistry
The adoption of laser dentistry has brought several advantages, making dental visits more comfortable and less intimidating:
Minimally Invasive
Lasers are incredibly precise, which means less damage to surrounding tissues. This results in quicker procedures and shorter recovery times.
Reduced Pain and Discomfort
Many laser treatments eliminate the need for drills or sutures. In some cases, local anesthesia may not even be required.
Faster Healing
Laser treatments often result in less bleeding and swelling, which promotes faster healing and reduces the risk of complications.
Lower Risk of Infection
The laser’s light beam sterilizes the area being treated, reducing the chances of bacterial infection during or after the procedure.
Improved Patient Experience
For people with dental anxiety, laser dentistry offers a quieter, less invasive alternative to traditional procedures, making visits to the dentist less stressful.
Are There Any Risks?
Laser dentistry is generally considered safe when performed by a trained professional. However, like any dental procedure, there can be risks such as:
- Mild discomfort or sensitivity after treatment
- Potential for gum damage if the laser is misused
- The need for follow-up treatments in some cases
It’s essential to choose a dentist who is certified and experienced in laser procedures to ensure the safest and most effective care.
Who Is a Candidate for Laser Dentistry?
Most patients can benefit from laser treatments, but not all procedures are suitable for laser use. The effectiveness of the laser depends on:
- The type of dental issue
- The patient’s overall oral health
- The type of laser available at the clinic
Your dentist will assess your condition and recommend the best approach, whether it involves laser technology or traditional methods.
Experience Advanced, Painless Laser Dentistry
Get precise, minimally invasive treatment with faster healing and greater comfort.
Book Appointment at Dental Lifecare or write to us at dentallifecare2006@gmail.com
Call Now for appointment +91-9899932210, +91-9810167164; or connect to us on Whatsapp at +91-9899932210




