Smile Designing – Enhance your smile with confidence
A beautiful smile is often considered one of the most attractive features of a person’s face. It not only enhances physical appearance but also boosts confidence, improves social interactions, and leaves a lasting impression. However, many people feel self-conscious about their smile due to crooked teeth, gaps, discoloration, worn teeth, or uneven gums. Modern dentistry offers an advanced solution known as smile designing, a comprehensive approach that improves both the appearance and function of a person’s smile.
Smile designing has become an increasingly popular cosmetic dental procedure because it combines science, technology, and artistry to create a balanced and natural-looking smile tailored to each individual.
What Is Smile Designing?
Smile designing is a customized cosmetic dental treatment that focuses on improving the overall appearance of the teeth, gums, and lips. It involves carefully analyzing facial features, dental structure, and smile aesthetics to create a treatment plan that enhances the patient’s smile.
Unlike a single dental procedure, smile designing often involves a combination of treatments that work together to achieve the desired results. These treatments may include teeth whitening, veneers, crowns, orthodontic treatment, gum contouring, dental bonding, or dental implants.
The goal of smile designing is not only to make the teeth look better but also to ensure proper function, comfort, and harmony with the patient’s facial features.
How Smile Designing Works
Smile designing typically follows a step-by-step process to ensure accurate planning and optimal results.
- Consultation and Smile Analysis
The process begins with a detailed consultation where the dentist evaluates the patient’s oral health and discusses their concerns and expectations. During this stage, the dentist examines factors such as:
- Tooth shape and size
- Tooth color
- Alignment of teeth
- Gum health and gum line
- Facial symmetry
- Lip shape and smile line
Digital photographs, dental impressions, and sometimes 3D scans are taken to analyze the patient’s smile more precisely.
- Digital Smile Design
Many modern dental clinics use advanced digital smile design technology to create a virtual model of the patient’s new smile. This allows the dentist to simulate the expected results before the treatment even begins.
Patients can see a preview of how their smile will look after the procedure, which helps them feel more confident about the treatment plan.
- Customized Treatment Plan
Based on the smile analysis and digital planning, the dentist develops a personalized treatment plan. Each patient’s smile is unique, so the combination of procedures may vary depending on the individual’s needs.
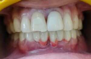
- Smile Transformation
The final step involves performing the selected treatments to achieve the desired smile transformation. Depending on the procedures involved, the treatment may take a few appointments or several weeks.
Common Procedures Used in Smile Designing
Smile designing often includes multiple cosmetic and restorative dental procedures. Some of the most commonly used treatments include:
Teeth Whitening
Teeth whitening is one of the simplest and most popular cosmetic procedures. Professional whitening removes stains and discoloration, making the teeth appear brighter and more attractive.
Dental Veneers
Veneers are thin shells made of porcelain or composite material that are bonded to the front surface of the teeth. They are used to correct problems such as chipped teeth, gaps, discoloration, or irregular shapes.
Dental Crowns
Crowns are protective caps placed over damaged or weak teeth. They restore the tooth’s strength while improving its appearance.
Orthodontic Treatment
Braces or clear aligners may be used to straighten crooked or misaligned teeth. Proper alignment improves both the aesthetics and function of the smile.
Gum Contouring
Some individuals have uneven or excessive gum tissue that creates a “gummy smile.” Gum contouring reshapes the gum line to achieve a more balanced appearance.
Dental Bonding
Dental bonding involves applying a tooth-colored resin to repair chipped, cracked, or slightly misaligned teeth. It is a quick and cost-effective cosmetic solution.
Dental Implants
Dental implants are used to replace missing teeth. They provide a natural-looking and permanent solution that restores both function and appearance.
Importance of Smile Designing
Smile designing plays a significant role in improving both dental health and overall quality of life. Its importance goes beyond aesthetics.
- Boosts Self-Confidence
A beautiful smile can greatly enhance a person’s confidence. People who feel unhappy with their teeth may hesitate to smile, speak, or socialize freely.
Smile designing helps individuals feel more comfortable and confident in their appearance, which positively impacts personal and professional interactions.
- Improves Facial Aesthetics
The smile is closely connected to facial harmony. Properly designed teeth and gums complement the shape of the face, lips, and jawline.
Smile designing ensures that the teeth are proportionate and balanced with the patient’s facial features, creating a natural and attractive look.
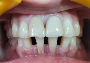
- Corrects Multiple Dental Problems
Smile designing addresses various dental issues at once. It can correct problems such as:
- Crooked or misaligned teeth
- Gaps between teeth
- Discolored or stained teeth
- Chipped or worn teeth
- Uneven gum lines
- Missing teeth
By treating these concerns together, smile designing provides comprehensive improvement.
- Enhances Oral Health
Many procedures involved in smile designing also improve oral health. For example, straightening misaligned teeth makes them easier to clean, reducing the risk of cavities and gum disease.
Replacing missing teeth with implants or bridges restores proper chewing function and prevents bone loss in the jaw.
- Provides Long-Lasting Results
Modern cosmetic dental materials are highly durable and designed to last for many years. With proper care and regular dental check-ups, the results of smile designing can remain beautiful and functional for a long time.
Who Can Benefit from Smile Designing?
Smile designing is suitable for individuals who wish to improve the appearance of their smile. It may be recommended for people who have:
- Stained or discolored teeth
- Crooked or crowded teeth
- Gaps between teeth
- Uneven or excessive gums
- Chipped or broken teeth
- Missing teeth
- An unattractive or unbalanced smile
However, before undergoing cosmetic procedures, it is important that the patient’s overall oral health is stable. Any existing dental problems such as cavities or gum disease should be treated first.
“Smile designing often includes treatments like teeth whitening, veneers, and aligners to achieve the best results.”
Maintaining Results After Smile Designing
Maintaining the results of smile designing requires proper oral care and healthy habits. Patients should follow these guidelines:
- Brush teeth twice daily with fluoride toothpaste
- Floss regularly to remove plaque between teeth
- Avoid excessive consumption of staining foods and beverages
- Visit the dentist regularly for professional cleaning and check-ups
- Use protective devices such as night guards if recommended
Good oral hygiene ensures that the results of smile designing remain attractive and long-lasting.
Conclusion
Smile designing is one of the most advanced and effective approaches in modern cosmetic dentistry. By combining multiple dental treatments and advanced technology, it allows dentists to create customized smiles that enhance both appearance and oral function.
A well-designed smile can boost confidence, improve facial aesthetics, and positively impact a person’s overall quality of life. Whether correcting minor imperfections or performing a complete smile makeover, smile designing offers a personalized solution for achieving a healthy, beautiful, and confident smile.
Transform Your Smile with Confidence
Discover how personalized smile designing can enhance your appearance and boost your confidence.
Book Appointment
+91-9899932210, +91-9810167164
Related Treatments



